


Welcome to Szymanowski Orthodontics
For more than 50 years, when Sacramento hears “Szymanowski”, we think of beautiful smiles.
Orthodontist Dr. Damon Szymanowski and our friendly team are waiting to create the smile you’ve always wanted, and always deserved.
Want a New Smile?
How We Help




Dr. Damon's Patients
Reviews
I had the best experience at Szymanowski Orthodontic Office.
Son P.

Meet Dr. Szymanowski
Dr. Szymanowski is an expert Sacramento orthodontist bringing world-class orthodontic care to patients of all ages using the latest in orthodontic treatments and technology.
Learn MoreThe Damon
Smiles Difference
Before & Afters

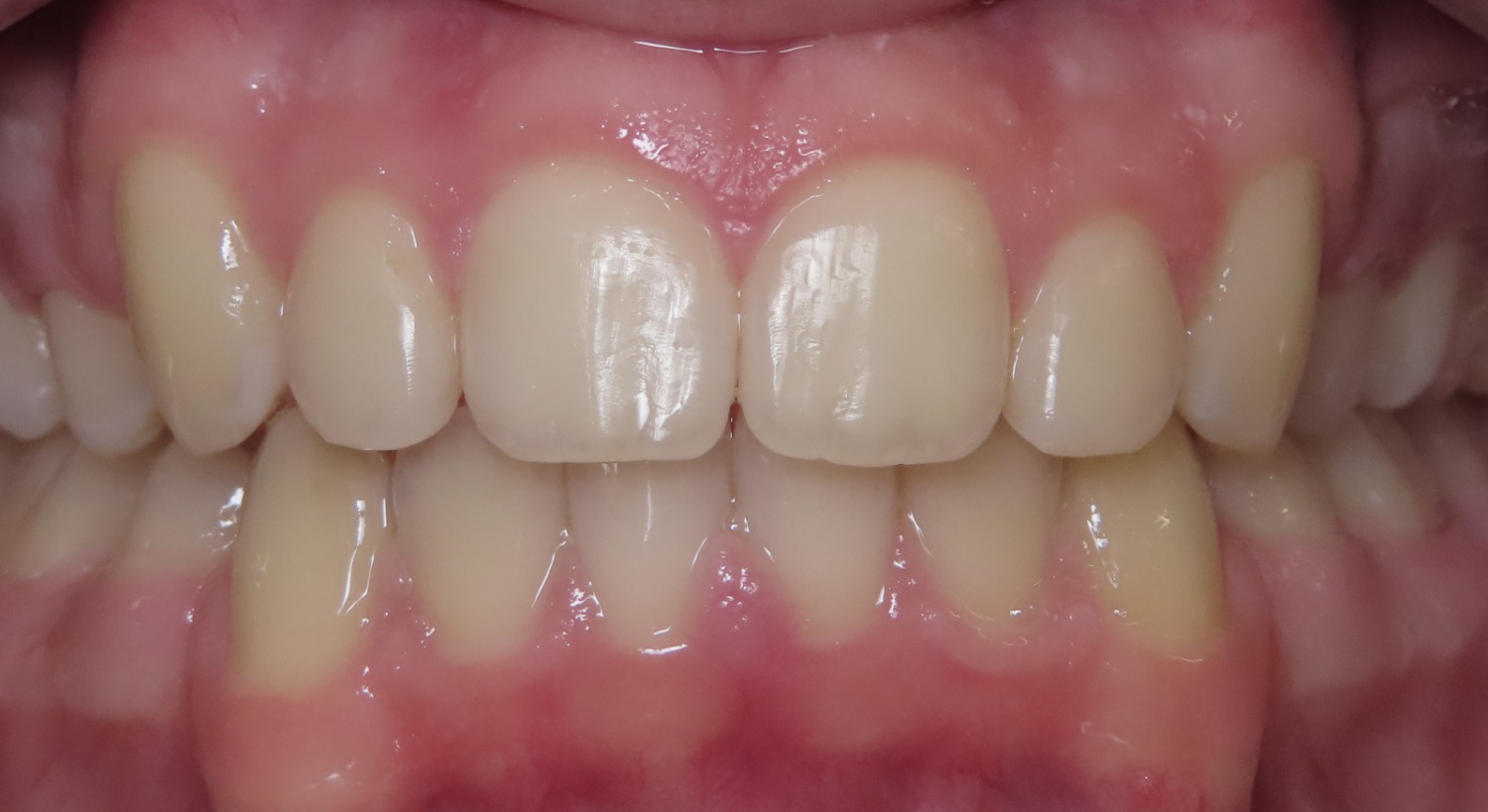
Before Treatment

After treatment with braces.
24 months with braces had this patient smiling bigger and better than ever.

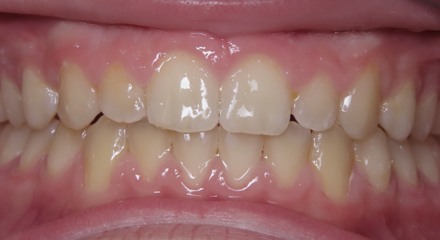
Before Treatment

After treatment with braces.
9 months of braces had this patient smiling bigger and better than ever.
3 Easy Steps
Ready, Set, Smile!
Free Consult
Your first visit is always free, so let’s talk about your smile goals.

Digital Records
We’ll take some digital photos for Dr. Szymanowski. This doesn’t hurt a bit!

Start Treatment
Dr. Szymanowski will create a treatment plan customized just for you.

We're Your
Top-Rated
Sacramento
Orthodontic
Office
My teeth are straighter than ever and my smile more confident than ever.
Thianna
Actual Braces Patient
If you want to fix your teeth and have a beautiful smile, truly look no further and come here.
Stan
Actual Braces Patient
I could not be happier with the results, the treatment, and the practice.
Katie
Actual Braces Patient
I have never been happier because I get to show my new smile more without being self conscious.
Stan
Actual Braces Patient
Patient
Testimonials

“He really loves coming here
- Gianna

“They make you feel at ease
- Sharon

“Spectacular office atmosphere
- Marcella
You've Got Options
Braces & Invisalign
// Easy and Painless
You can get the newest orthodontic options to make your new smile fast and affordable.
Learn MoreSmile Rewards
We reward you with more than a great smile at Szymanowski Orthodontics. You can win free lunches, gift cards, or even a night out at a Kings game!
Learn More


